• Home
  • Our Practice
  • Dr. Wanzel
  • Services
    • Face
      • Eyelid Surgery (Blepharoplasty)
      • Brow Lift (Forehead Lift)
      • Ear Pinning (Otoplasty)
    • Breast
      • Breast Augmentation
      • Breast Implant Revision Surgery
        • Allergan Breast Implant FAQs
      • Breast Lift
      • Breast Reduction
      • Correction of Breast Asymmetry
      • Correction of Inverted Nipples
      • Male Breast Reduction (Gynecomastia)
      • Breast Reconstruction
    • Body
      • Abdominoplasty (Tummy Tuck)
      • Labia Reduction (Labiaplasty)
      • Liposuction
      • Arm Lift (Brachioplasty)
      • Mommy Makeover
    • Skin
      • BOTOX® Cosmetic
      • Injectable Fillers
      • Hyperhidrosis (Sweating Treatment)
      • LATISSE® Solution
      • ZO® Skin Health Products
  • Photo Gallery
  • Patient Info
  • Location
  • Contact
  • Menu
    • Home
    • Our Practice
    • Dr. Wanzel
    • Services
      • Face
        • Eyelid Surgery (Blepharoplasty)
        • Brow Lift (Forehead Lift)
        • Ear Pinning (Otoplasty)
      • Breast
        • Breast Augmentation
        • Breast Implant Revision Surgery
          • Allergan Breast Implant FAQs
        • Breast Lift
        • Breast Reduction
        • Correction of Breast Asymmetry
        • Correction of Inverted Nipples
        • Male Breast Reduction (Gynecomastia)
        • Breast Reconstruction
      • Body
        • Abdominoplasty (Tummy Tuck)
        • Labia Reduction (Labiaplasty)
        • Liposuction
        • Arm Lift (Brachioplasty)
        • Mommy Makeover
      • Skin
        • BOTOX® Cosmetic
        • Injectable Fillers
        • Hyperhidrosis (Sweating Treatment)
        • LATISSE® Solution
        • ZO® Skin Health Products
    • Photo Gallery
    • Patient Info
    • Location
    • Contact
Logo
416.236.2571 1243 Islington Avenue,Ste 600 | Toronto, ON M8X1Y9

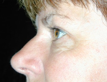
Blepharoplasty

Case ID: 1037
Prev
View

Front:

Oblique:

Side:

Next
View
Next

Before and 5 months after upper blepharoplasty only

Procedures

  • Face
    • Facelift
    • Eyelid Surgery (Blepharoplasty)
    • Ear Pinning (Otoplasty)
  • Breast
    • Breast Augmentation
    • Breast Augmentation/Lift
    • Breast Lift
    • Breast Reduction
    • Male Breast Reduction (Gynecomastia)
    • Correction of Inverted Nipples
  • Body
    • Abdominoplasty (Tummy Tuck)
    • Labia Reduction (Labiaplasty)
    • Arm Lift (Brachioplasty)

Archives

  • July 2015
  • April 2015
  • March 2015

  • Home
  • Our Practice
  • Dr. Wanzel
  • Services
  • Photo Gallery
  • Patient Info
  • Location
  • Contact

© 2026 Dr. Kyle Robert Wanzel and MedNet Technologies, Inc.
MedNet-Sites™ All Rights Reserved.



MedNet Technologies

Terms of Use | Sitemap

▲